44,8950$% 0.23
52,8913€% -0.09
60,8054£% 0.01
6.965,35%1,07
4.829,68%0,85
14.587,93%2,72
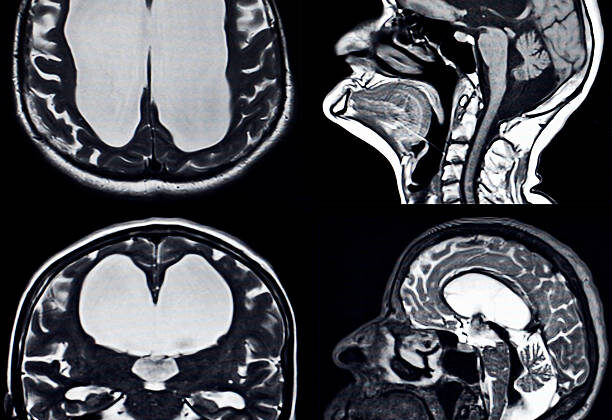
Hidrosefali Tedavisinde Şant Cerrahisi: Uzmanlar Hayati Bilgileri Paylaştı Beyinde su birikmesi olarak bilinen hidrosefali, beyin omurilik sıvısının (BOS) normal akışının bozulmasıyla ortaya çıkan ciddi bir sağlık sorunudur. Uzmanlar, bu durumun tedavisinde en yaygın ve etkili yöntemin şant cerrahisi olduğunu belirtiyor. Üsküdar Üniversitesi NPİSTANBUL Hastanesi’nden Beyin, Sinir ve Omurilik Cerrahisi Uzmanı Prof. Dr. Onur Yaman, hidrosefali tedavisindeki bu cerrahi yöntemin detaylarını anlattı.

Şant Ameliyatı Nasıl Yapılır ve Kimlere Uygulanır?
Prof. Dr. Yaman, şantın beyin içindeki fazla sıvıyı vücudun başka bir bölgesine, genellikle karın boşluğuna, aktaran kapalı bir plastik sistem olduğunu açıkladı. “Ameliyat genel anestezi altında ortalama 45 dakika sürer. Şantın bir ucu beyin içindeki boşluğa (ventrikül), diğer ucu ise karın boşluğuna yerleştirilir. İki uç, cilt altından geçirilen bir tünelle birleştirilir ve aradaki valf sistemi sıvı akışını kontrol eder,” dedi.
Şant cerrahisi, çocukluk ve erişkinlik döneminde travma, beyin kanaması veya tümör gibi nedenlerle hidrosefali gelişen hastalara uygulanabildiği gibi, doğuştan hidrosefali vakalarında da tercih edilen bir yöntemdir. Ancak Yaman, öncelikle hidrosefaliye yol açan asıl nedenin ortadan kaldırılmaya çalışıldığını, daha sonra şant ameliyatının planlandığını vurguladı.

Ameliyat Sonrası Takip ve Komplikasyon Riski
Ameliyatın ardından hastaların genellikle 1-2 gün hastanede kaldığını ve ardından taburcu edildiğini belirten Yaman, yaraların iyileşme sürecinin yaşa bağlı olarak 7 ila 10 gün sürdüğünü söyledi. İlk kontrolün ameliyattan bir ay sonra yapıldığını, daha sonra ise herhangi bir sorun yoksa yıllık kontrollere geçildiğini belirtti. Yaman, hastaların normal yaşamlarına dönebileceğini ancak baş ağrısı, baş dönmesi, mide bulantısı, kusma, denge bozukluğu ve bilinç bulanıklığı gibi belirtilerde mutlaka bir hekime başvurulması gerektiği konusunda uyardı.

Şantların ömürlük olabileceğini ifade eden Prof. Dr. Yaman, en önemli risklerin sistemin enfeksiyon kapması veya tıkanması gibi şanta bağlı komplikasyonlar olduğunu belirtti. Bu gibi durumlarda revizyon (yenileme) ameliyatı yapılması gerekebilir. Yaman, şant cerrahisinin invaziv bir işlem olduğunu ve nadiren kanama veya sinir dokusunda hasar gibi riskler barındırdığını da ekledi.

Başarılı Bir Tedavinin Anahtarları
Prof. Dr. Yaman, şant ameliyatının hidrosefali hastalarının yaşam kalitesini ciddi şekilde artıran etkili bir yöntem olduğunu vurguladı. “Ameliyat sonrası düzenli takip, olası komplikasyonların erken fark edilmesi açısından kritik önem taşır,” diyen Yaman, uygun hasta seçimi, deneyimli cerrahi ekip ve düzenli kontrollerin başarılı bir tedavi sürecinin anahtarları olduğunu söyledi.
Sıvı Kaybı Ölüme Götürebilir: Vücuttaki Gizli Tehlikeye Dikkat!
1
Uluslararası Literatüre Girdi: Ankara’da Yapılan Ameliyat Tıp Tarihine Geçti
2
Mimarlar Odası’ndan Torba Yasa Uyarısı: Doğa ve Gelecek Tehlikede
3
Anoreksiya Nedir? Belirtileri, Nedenleri ve Tedavi Süreci
4
SMA Hastaları İçin Umut ve Dayanışma: 4. Ulusal SMA Kampı Eskişehir’de Gerçekleştirildi
5
81 İlde Eş Zamanlı Sağlık Taraması Başladı
Veri politikasındaki amaçlarla sınırlı ve mevzuata uygun şekilde çerez konumlandırmaktayız. Detaylar için veri politikamızı inceleyebilirsiniz.
Yorum yapabilmek için giriş yapmalısınız.